
AO VIVO • GRATUITO • NO INSTAGRAM
E isso coloca o futuro dos primeiros molares permanentes em risco todos os dias


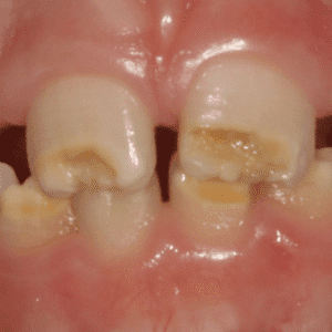
A verdade é que a maioria dos dentistas ainda confunde HMI com lesão de cárie, não reconhece os sinais clínicos específicos e subestima a complexidade do diagnóstico.
Além disso, poucos sabem que a HMI tem causas multifatoriais e exige uma conduta baseada em evidência científica — desde a escolha do material até o acompanhamento clínico.
Sem esse domínio, o risco de erro aumenta… e o dente que deveria durar a vida inteira se perde ainda na infância.
Tudo o que vai acontecer dentro da
Segunda-feira • 20h
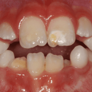
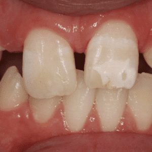
Descubra o que realmente é a HMI, como ela se manifesta clinicamente e por que tantos dentistas ainda confundem com lesão de cárie ou fluorose.
Terça-feira • 20h
Entenda os verdadeiros fatores envolvidos na origem da HMI e por que a causa vai muito além do que se imagina.
Quarta-feira • 20h
Aprenda a aplicar a conduta clínica mais segura, eficaz e baseada em evidência científica.

Mestre, Doutora, Pós-Doutora e referência em HMI, ela é a mente por trás do Clã das Guardiãs, um movimento que já transformou a prática de mais de 500 odontopediatras em todo o Brasil e no mundo.
Autora do livro HMI e palestrante reconhecida nacional e internacionalmente, sua missão é clara: salvar o maior número possível de primeiros molares permanentes.
Com um olhar clínico direto, ela simplifica o que muitos complicam.
Participando da SEMANA DA HMI, você dentista irá aprender exatamente o que precisa saber para diagnosticar e tratar a HMI com segurança, critério e resultado clínico real!

Copyright © 2025. Todos os direitos reservados.
Fragelli Treinamentos. CNPJ:45.033.069/0001-50